Kalp Kapak Hastalıkları
Kalp kapaklarının görevi nedir?
Kalp Kapak hastalığı ne anlama gelir? Kalp, gevşeme ve kasılma hareketleri yaparak kanı sürekli ileri doğru pompalayan en hayati organımız. Birbirinden kaslarla ayrılan dört odacıktan oluşan kalp içinde kanın, vücutta yaptığı gibi hep ileri doğru hareket etmesi, geriye kaçmaması gerekmektedir. İşte bu ileri hareket sağlayan yapılara kalp kapakları deniyor. Kalbin alt ve üst odacıklar arasında yer alan iki kapağının sağdakinin ismi triküspit, soldakinin ise mitral kapaktır. Kanın kalbi terk ettiği noktalarda, yani kalp ile ana atardamarlar arasında yer alan diğer iki kapağın sağındakine, akciğer ana atardamarları ile kalp arasında yer alır, pulmoner kapak, soldakine ise ki bu da aort dediğimiz temiz kanı vücuda taşıyan büyük atardamar ile kalp arasında yer alır, aort kapak denir. İşte kalp kapağı hastalıkları bu kapakların etkilendiği tüm hastalıkların genel ismidir. Kalp kapağı hastalığında kaşımıza üç tip bozukluk çıkar. Bu kapakların temel işlevi dolaşan kan akımının rahatça ve yalnızca doğru yönde ilerlemesini sağlamaktır.
Bir kapak hastalandığı ya da hasar gördüğü takdirde 3 tür olumsuz sonuç doğar:
- Kapakların açılması kısıtlandığında darlık
- Kapakların kapanması bozulduğunda yetersizlik
- Kapakların hem kapanması hem de açılması bozulabilir.
Gerek kapak darlığı ve gerekse kapak yetersizliği kalbin iş yükünün artması sonucunu doğurur. Darlık durumunda kapak kan akımını engeller; bu engeli aşarak akımı sağlamak ancak kalbin daha güçlü pompa yapmasıyla mümkün olur. Yetersizlik durumunda ise geriye kaçan kanın eklenmesiyle artmış olan kan hacminin pompalanması ekstra enerji gerektirir.
Kalbin bu artmış iş yükünün yanı sıra hastalıklı kapağın gerisindeki kan yüksek basınçlıdır. Bu da tutulan kapağın hangisi olduğuna bağlı olarak akciğerlerden ya da vücudun aşağı kısımlarından dönen toplardamarların basıncının artmasına yol açar ki bu durum dokularda sıvı toplanmasıyla sonuçlanır.
Kapak hastalığının belirtileri nelerdir?
Kalp kapak hastalıklarının belirtileri hangi kapağın hasta olduğuna bağlı değişkenlik gösterir. Hafif ve orta derece kapak hastalığı olanlarda yıllarca hiçbir şikâyeti dahi olmayabilir. Ancak hastalık ilerledikçe hastada yorgunluk, tıkanma, nefes darlığı, ayaklarda şişlik ya da çarpıntı hissetmesine neden olur. İleri derece kapak darlıklarında baş dönmesi, baygınlık hissi ve göğüs ağrısı hatta bayılma nöbetleri olabilir.
Kapak hastalığının tanısı nasıl konur?
Doktor muayene esnasında kalp seslerini stetoskop adı verilen dinleme aletiyle değerlendirirken üfürüm adı verilen ek sesleri işiterek kapak hastalığının tanısını sıklıkla koyabilir. Bu üfürümler çeşitli biçimlerde olabildiği gibi bazı sağlıklı kalplerde de işitilebilmektedir. Üfürümün tipini belirlemek suretiyle doktor hastasına daha ileri bir tetkike ihtiyaç duyulup duyulmadığını bildirir.
Elektrokardiyografi (EKG):
Kapak hastalığının ilerlemesiyle EKG de değişikliler ortaya çıkar.
Göğüs radyografisi:
Kalpte değişik biçimlerde büyüme, akciğerlerde sıvı birikimi olup olmadığını gösterir.
Ekokardiyografi (EKO):
Muayene, elektrokardiyografi ve göğüs radyografisi kapak hastalığı şüphesi uyandırdığında tanıyı kesinleştiren temel yöntemdir. Bu yöntemle kapakların biçimleri, hareketleri, açılımlarının yeterli olup olmadığı, kalp boşluklarında büyüme, kalınlaşma olup olmadığı bir ekranda görüntülenir. İnceleme esnasında kullanılan Doppler tekniğiyle kan akımlarının yön ve hızları belirlenerek kapak darlığının ve yetersizliğinin varlığı ve şiddeti ortaya konur.
Kalp kateterizasyonu:
Lokal anesteziyle yapılan bir girişimdir. Pek çok hastada gerekmemekte, diğer yöntemler yeterince bilgi vermediğinde ya da ameliyat tedavisi gündeme geldiğinde uygulanmaktadır. Kateterin delikli ucu hem kalbin içerisindeki basınçların ölçülmesine hem de bir opak madde verilerek kalp boşlukların görüntülenmesine olanak tanır. Böylece kan akımının doğru yönde ilerleyip ilerlemediği, kapaklarda yetersizlik olup olmadığı, pompa işlevinin yeterli olup olmadığı belirlenebilmektedir. İşlem esnasında koroner anjiyografi yapılarak koroner damarlarda daralma olup olmadığı anlaşılabilir.
Kalp kapak hastalığının sebepleri nelerdir?
- Kapağın doğumsal hastalığı
- Romatizmal ateş
- Mitral kapak prolapsusu
- Yaşlanmasıyla birlikte gelişen kapak kireçlenmeleri
- Kapak enfeksiyonu
- Kalp yetmezliği
- Koroner arter hastalığı
Kapak hastalığı nasıl tedavi edilir?
Kapak hastalarının çoğu fazla bir tedavi almadan sadece düzenli muayene ve ekokardiyografi kontrolleri altında yıllarca takip edilirler. Bazı hastalarda şikâyetleri azaltmak amacıyla ilaç tedavisi kullanılmaktadırlar. Kapak hastalığının neden olduğu darlık ya da yetersizlik şiddetliyse ameliyat gerekebilmektedir. Bazı durumlarda hastanın çok fazla şikâyeti olmasa da ameliyat önerilebilir. Kapak cerrahisi hastanın şikâyetlerinin azaltılmasına ve normal bir yaşam sürmesine önemli katkı sağlamaktadır.
Kapak cerrahisinde kullanılan iki yöntem kullanılmaktadır.
- Kapağın değiştirilmesi,
- Kapağın tamiridir.
- Balon valvüloplasti (Genişletilmesi)
- Mitral kapak yetersizliği tedavisinde MitraClip Yöntemi
- Triküspid kapak yetersizliği tedavisinde TriClip Yöntemi
Hastalıklı kapağın değiştirilmesinde kullanılan takma (protez) kapaklar arasında en sık kullanılan mekanik kapaklar ve hayvanlardan alınan doku kapaklarıdır (biyoprotez kapaklar). Kapak tamiri en sık mitral kapak yetersizliğinde kapağın fazla hasar görmemiş olduğu durumlarda tercih edilebilmektedir.
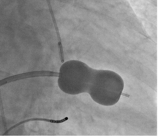
Mitral Balon Valvüloplasti (Mitral Kapağı Balon İle Genişletme Tedavisi)
Özellikle mitral darlığı olan uygun hastalarda uygulanan ameliyat dışı bir tedavi seçeneğidir. Hastanın kasık bölgesi lokal anesteziyle uyuşturulduktan sonra atardamara bir kateter yerleştirilir. Bu kateter dar olan mitral kapağa ilerletildikten sonra ucundaki sosis benzeri balon şişirilerek darlık açılır. Daha nadiren diğer kapakların darlıklarında da bu yöntem tercih edilebilmektedir.
TAVI Uygulaması Nedir?
(TAVI), aortik kapak stenoz (darlık) tedavisi için kullanılan minimal invazif bir tıbbi işlemdir. TAVI işlemi sırasında, genellikle kasık bölgesinden veya göğüs duvarından bir kateter, hastanın arteriyel sistemine yerleştirilir ve aort kapağına ulaşılır. Sonra bu kateter aracılığıyla eski ve hastalıklı aortik kapak yerine yeni bir protez kapak yerleştirilir. Yeni kapak açılarak kanın daha etkili bir şekilde pompalanmasına yardımcı olur. TAVI, özellikle yüksek risk taşıyan veya açık kalp cerrahisi için uygun olmayan hastalar için önemli bir alternatif sunar ve genellikle daha hızlı bir iyileşme süresiyle ilişkilendirilir.
Kapak hastalığı gebeliği nasıl etkiler?
Hafif ya data derece kapak hastalığı olan kadınlarda gebelik genellikle önemli bir sorun yaratmamaktadır. Yine de hastanın gebeliği süresince dikkatle izlenmesi gerekir. Daha önce bilinen bir kalp kapak hastalığı olmayan bazı kadınlarda hastalık gebelik esnasında kendini gösterebilir. Romatizmal kapak hastalığına halen sık rastlanan ülkemizde bu duruma mitral darlığı olan kadınlarda rastlanabilmektedir.
İleri derece kapak darlığı ve yetersizliğinde ise gerek anne gerekse bebek için risk daha fazladır. Bu durumda hamile kalmak isteyen anne adayı mutlaka kalp hastalıkları uzmanına başvurmalıdır. Bazı durumlarda gebelik öncesinde kapak ameliyatı uygulanmakta ve tedavi sonrasında daha az risk taşıyan bir gebeliğe olanak tanınmaktadır. Kapak ameliyatları bazı kadınlarda gebelik sürerken gerekebilmekte ve yapılabilmektedir.
Sağlıklı ve mutlu günler dileriz.
“Sayfa içeriği sadece bilgilendirme amaçlıdır. Tanı ve tedavi için mutlaka doktorunuza başvurunuz.”




